親知らずが生えてきたとき、多くの方が「抜いたほうがいいのか」と悩まれます。
実は親知らずは必ずしもすべて抜歯が必要なわけではありません。正常に生えて機能している親知らずであれば、無理に抜く必要はないのです。
神戸市元町の三代歯科医院では、25年以上にわたり地域の患者様の親知らずを診察してきました。その経験から申し上げると、抜歯の判断は慎重に行うべきだと考えています。
この記事では、親知らずを抜かない選択が適切なケース、抜歯を検討すべきケース、そして経過観察のポイントについて詳しく解説します。
親知らずとは何か?なぜ問題になるのか
親知らずは正式には「第三大臼歯」または「智歯」と呼ばれる歯です。
一番奥に位置し、永久歯の中で最後に生えてきます。一般的には10代後半から20代にかけて萌出しますが、個人差が大きく、生えてこない方もいらっしゃいます。
現代では親知らずが正しく生えている方は約3割程度です。残りの7割の方は斜めに生えたり、歯ぐきの中に埋まったままになっています。これは食生活の変化により顎が小さくなり、親知らずが生えるスペースが不足しているためと考えられています。

親知らずが問題になるのは、その生え方に起因します。
口の中の一番奥に位置するため歯磨きが行き届きにくく、斜めや横向きに生えている場合はさらに清掃が困難になります。その結果、むし歯や歯周病のリスクが高まるのです。
親知らずを抜かなくてもよいケース
すべての親知らずを抜く必要はありません。
正常に生えて機能している場合
親知らずが上下で正常に生えて噛み合っている場合、特に抜く必要はありません。手前の歯と同じように生えていて、歯磨きも問題なくできる状態であれば、そのまま残しておくことができます。
正常に機能している親知らずは、将来的に手前の歯が抜けてしまった場合にブリッジの土台や移植歯として使える可能性があります。
完全に埋まっていて問題がない場合
骨の中に完全に埋まっていて、レントゲン写真上で問題が認められない場合も抜歯の必要はありません。
他の歯に影響を及ぼさなければ経過観察を続けることができます。ただし、定期的なレントゲン検査で状態を確認することが重要です。

年齢や全身状態を考慮する場合
高齢の方や全身疾患をお持ちの方の場合、抜歯による身体への負担を考慮する必要があります。
親知らずに特に問題がなく、抜歯のリスクが高いと判断される場合は、経過観察を選択することもあります。
親知らずを抜いたほうがよいケース
一方で、抜歯を検討すべきケースも明確に存在します。
智歯周囲炎を繰り返す場合
親知らずが中途半端に生えて清掃が難しい部位があると、智歯周囲炎を起こす可能性があります。智歯周囲炎とは、親知らず周辺の歯ぐきに炎症が生じる状態です。
一度智歯周囲炎を起こすと、症状が治まった後も細菌感染が残るため腫れを繰り返すようになります。重症化すると顔が腫れたり、口が開きにくくなることもあります。
このような場合は抜歯を検討する必要があります。
むし歯や歯周病に罹患している場合
親知らずは一番奥の歯なので治療器具が届きにくく、治療が大変なことが多いです。
また、手入れが困難な部位のため、治療しても再びむし歯になる可能性があります。このため、親知らずがむし歯になった場合はあえて治療をせずに抜いてしまったほうがよい場合があります。

隣の歯に悪影響を与えている場合
親知らずが原因で手前の第二大臼歯にむし歯が発症してしまった場合、第二大臼歯の治療のために親知らずを抜く必要があります。
親知らずが悪影響を与えている状況をそのまま放置すると、第二大臼歯の状態が悪くなりすぎて保存不可能になる危険性があります。第二大臼歯は咀嚼に重要な役割を果たす歯ですので、守る必要があります。
歯並びに影響を与えている場合
親知らずが横向きになっている場合、手前の歯に後ろから押すような力がかかります。
親知らずが手前の歯を強く押すことによって、歯並びが悪くなってしまうことがあります。特に歯列矯正をお考えの方は、親知らずの状態も考慮しなければなりません。
噛んだ時に歯ぐきや粘膜を傷つける場合
歯は噛み合う相手がいないとどんどん伸びていきます。
歯が伸びると向かいの歯ぐきや頬の粘膜に接触するようになり、痛みを引き起こすようになります。このような場合も抜歯を検討する必要があります。
三代歯科医院の親知らず診断アプローチ
当院では単に抜歯をすすめるのではなく、抜歯の必要性をきちんと見極めることを大切にしています。
歯科用CTによる精密診断
親知らずの抜歯を検討する際、最も重要なのは正確な診断です。
当院では歯科用CTを活用した精密診断により、親知らずの位置や神経との距離を立体的に把握します。これにより安全性を確認したうえで治療計画を立てることができます。

親知らずの根っこが下顎の神経に近い場合などは、CT撮影を行わせていただくことがあります。より安全に親知らずを抜歯処置するための精密な診査・診断を行っております。
抜歯難易度の評価
親知らずの抜歯難易度は、位置の深さ、根っこの数、神経との近さなどによって決まります。
位置が深い場合は視野が取りづらく器具が到達しにくいため難しい抜歯となります。また、根っこが複数に分かれて骨を抱えている場合も抜歯が難しくなります。
当院では大学病院の口腔外科出身の経験を活かし、多くのケースに対応しています。ただし、神経や血管に近いケース、埋伏の状態が複雑なケースについては、神戸市内の大学病院・総合病院の口腔外科と連携し、適切な医療機関へ迅速にご案内できる体制を整えています。
長期的な視点での判断
当院は25年以上地域に根付いている歯科医院です。
同じ患者様を長期的に診察する機会が多いため、長期的な観点を持った治療を行っています。目先の症状だけでなく、将来的なリスクや患者様の生活の質を考慮した判断を心がけています。
経過観察が必要な理由と定期チェックのポイント
親知らずを抜かない選択をした場合、経過観察が非常に重要です。
なぜ定期的なチェックが必要なのか
親知らずの状態は時間とともに変化する可能性があります。
現時点で問題がなくても、加齢や生活習慣の変化により将来的に問題が生じることがあります。また、親知らず自体に変化がなくても、隣接する歯に影響が出ることもあります。
定期的なチェックにより、問題を早期に発見し適切に対処することができます。
経過観察の頻度
一般的には6ヶ月に1回程度の定期検診をお勧めしています。
ただし、親知らずの状態や患者様の年齢、口腔内の衛生状態によって頻度は調整します。智歯周囲炎の既往がある方や、親知らずが斜めに生えている方は、より頻繁なチェックが必要になることもあります。

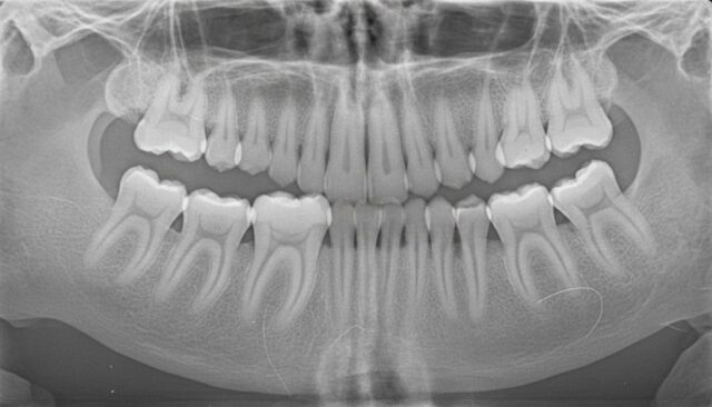
レントゲン検査の重要性
目視だけでは確認できない親知らずの状態を把握するため、定期的なレントゲン検査が重要です。
レントゲン検査により、親知らずの位置の変化、むし歯の有無、周囲の骨の状態などを確認できます。特に完全に埋まっている親知らずの場合、レントゲン検査なしでは状態を把握することができません。
セルフケアのポイント
親知らずを残す場合、日々のセルフケアが非常に重要です。
親知らずは口の中の一番奥に位置するため、通常の歯ブラシだけでは十分に清掃できないことがあります。タフトブラシ(ワンタフトブラシ)を使用して、親知らず周辺を丁寧に磨くことをお勧めします。
また、デンタルフロスや歯間ブラシを使用して、親知らずと手前の歯の間も清掃することが大切です。
親知らず抜歯の流れと注意点
抜歯が必要と判断された場合の流れについても知っておくことが大切です。
抜歯前の準備
智歯周囲炎で炎症が起きている場合は、まず抗生剤で炎症を抑えてから日を改めて抜歯を行います。
炎症がある状態で抜歯を行うと、麻酔が効きにくく、術後の腫れや痛みも強くなる傾向があります。また、必要に応じてCT撮影を行い、神経や血管との位置関係を確認します。
抜歯処置
埋まっていない親知らずの場合は比較的短時間で抜歯できます。
一方、水平埋伏(横向きに埋まっている状態)の場合は、歯ぐきを切開し、骨を削り、歯を分割して取り出す必要があります。このような場合は処置に時間がかかり、術後の腫れや痛みも出やすくなります。
抜歯後の経過
抜歯後は消毒のために来院していただき、縫合した場合は約1週間後に抜糸を行います。
通常は3~4回の通院で治療が完了しますが、ドライソケット(抜歯窩の治癒不全)が生じた場合は5~6回かかることもあります。抜歯後は安静にし、激しい運動や飲酒、喫煙を避けることが大切です。
よくあるご質問
痛みはないけど気になる場合はどうすればいいですか?
痛みや日常生活に支障は特にないけれど、抜いたほうがいいのか気になるという方もいらっしゃいます。
そのような場合でも、抜いたほうがいいかどうかの診断のみの診療もお受けしております。お気軽にご相談ください。将来的なリスクを含めて総合的に判断いたします。
大学病院で抜かなければいけないと言われたのですが?
親知らずの位置や状態によっては、大学病院や総合病院での抜歯をお勧めすることがあります。
抜歯処置に時間がかかるため麻酔が効かなくなってくる場合、抜いた後に痛みがなかなか引かない場合などが該当します。特に親知らずが深い位置に埋まっている場合や、骨を大きく削り分割しなければならない場合は、患者様の身体の負担も大きくなるため、専門機関での処置が適切と判断することがあります。
抜歯にかかる費用はどのくらいですか?
保険診療での抜歯費用は全国一律です。
埋まっていない親知らずの場合は2,000円程度、水平埋伏の場合は4,000円程度が目安となります。これに初診料や再診料、レントゲン撮影費用などが加わります。CT撮影が必要な場合は別途費用がかかります。
まとめ:患者様一人ひとりに合わせた判断を
親知らずを抜くべきかどうかは、一律に決められるものではありません。
正常に生えて機能している場合や、完全に埋まっていて問題がない場合は、無理に抜く必要はありません。一方で、智歯周囲炎を繰り返す場合、むし歯や歯周病に罹患している場合、隣の歯に悪影響を与えている場合などは、抜歯を検討する必要があります。
当院では歯科用CTを用いた精密診断により、親知らずの状態を正確に把握し、患者様一人ひとりに合わせた治療方針をご提案しています。抜歯が必要な場合も、安全性に配慮した治療計画を立て、難症例については地域の大学病院・総合病院と連携して対応いたします。
親知らずについてお悩みの方は、まずは診察にお越しください。現在の状態を確認し、抜歯の必要性について丁寧にご説明いたします。
神戸市中央区元町の三代歯科医院
みなと元町駅から徒歩1分
親知らずの診察・相談を承っております
お電話またはウェブサイトからご予約ください
痛みがない場合でも、抜歯したほうがよいのか悩む方は少なくありません。初診では現在の生え方や周囲の状態を確認しながら、経過観察でよいかどうかも含めて相談できます。
著者情報
院長
三代 知史
(みしろ さとし)

略歴
- 昭和56年3月東京医科歯科大学歯学部 卒業
- 昭和56年4月大阪大学歯学部附属病院 第二補綴科医員
- 昭和60年4月大阪大学歯学部文部教官助手任官
- 昭和62年4月三代歯科医院 開業
所属学会
- 日本歯科補綴学会
- 日本臨床歯周病学会
- 日本顎咬合学会
- 日本歯科麻酔学会
- 日本歯科医療管理学会
主な役職
郡市区役員歴
- 令和元年7月中央区歯科医師会 会長
- 令和5年6月神戸市歯科医師会 副会長
兵歯役員・委員歴
- 平成23年4月理事(学術)
- 平成27年7月常務理事(財務)
- 令和元年7月副会長(医療保険、医療安全、医療管理)
- 令和3年7月監事
日歯役員歴
- 令和3年7月〜令和5年6月日本歯科医師会 常務理事
- 令和5年7月公益財団法人8020財団 常務理事
賞罰
- 平成21年11月兵庫県公衆衛生協会長表彰
- 令和元年2月日本公衆衛生協会長表彰
- 令和5年10月厚生労働大臣表彰
